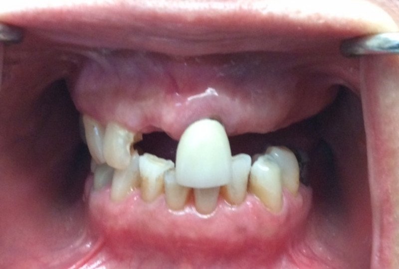
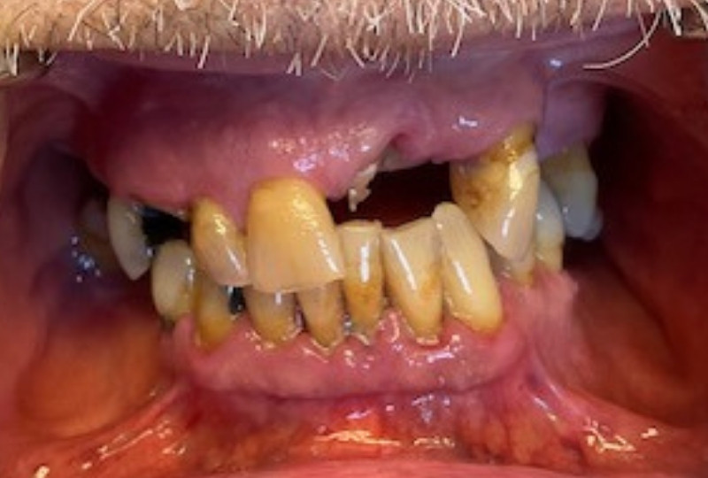
Before & After Photos
Complex Dental Cases
View some of the complex dental cases that Tara Hills Dental has completed for patients that required implants, crowns, and full/partial dentures.
Veneers

Veneers
Lorena
Orthodontia was done by Dr. Abar, and veneers were placed by Dr. El Ghaoui.

Veneers
Carolina
Patient had crowding and wanted a nicer smile. Dr. El Ghaoui did Invisalign and finalized her work with upper front veneers.

Veneers
Larry

Veneers
Linda
Patient had uneven smile with old previous crowns. She wanted a nicer smile. Veneers and crowns were done on the upper front, and later new crowns on the right side. Unfortunately, the patient moved before completing the left side.

Veneers
Thorina
3 veneers.

New Veneers
Linda S.

Veneers
Tom

Veneers
Nancy
Patient broke her front tooth and wanted a nicer smile. 4 veneers.

Veneers
Judy
2 veneers.

Veneers
Carole
Patient wanted a nicer smile. Had orthodontia by Dr. Axelrode, then 6 veneers by Dr. El Ghaoui.

Veneers
Kenny

Veneers
Breda

Veneers
Francine
Erosion, abfractions. Two incisal restored with two veneers.

Veneers
Jeanessa

Veneers
Sharon
Patient had crowding and wanted a nicer smile and no more partial denture. Orthodontia was done by Dr. Song. Implants were placed by Dr. Tsai, and final restorations were placed by Dr. El Ghaoui. Crowns on implants and upper front veneers.

Veneers
Deborah
Patient had erosion, thin upper front teeth at the lingual. Patient opted for orthodontia by Dr. Abar and then veneers by Dr. El Ghaoui.

Veneers
Marjorie
2 single veneers.

Veneers
Sanita
Patient had sensitive upper front teeth due to erosion. Dr. El Ghaoui did veneers. I need other pictures before prep. You have 2 pictures after prep.

2 New Veneers
Tom
2 veneers.

Anterior Veneers
Jose

Veneers
Maria
Large discolored fillings on two front teeth. 2 veneers.

Veneers
Renai
Patient wanted a nicer smile. 4 veneers.

Veneers
William

Veneers
Silvia
Thin, sensitive teeth. 6 veneers.

Veneers
Barbara
2 veneers.

Veneers
Melinda
Two veneers on two front teeth.

Veneers
Carole H
2 veneers. Severe cracks on her 2 front teeth.

Veneers
Maybelle J
Ortho and 4 veneers.
Dentures

New Smile with New Denture
Helen

Partial Denture
Kay

New Denture New Smile
Teresa

New Denture New Smile
Ritchey

Removable Partial Dentures with Crowns
Janet
Removable partial dentures with crowns

Denture Supported Implants
Barbara

Full Mouth Extraction Denture
Andrew

New Denture New Smile
Bernard

Removable Partial Upper Denture
Lillian
Removable partial upper denture without implant.
Composite Fillings

Composite Fillings
Hossein

Composite Fillings
Rose
Ceramic Bridge and Crowns

Silver vs white Filling
Howard

New Ceramic Bridge
Rode

Silver vs white Filling
Betty
Crowns and Veneers

Crown and Veneers
Danette

Crown and Veneers
Margot

Crown and Veneers
Sharon
Crowns and Bridge Restoration

Crown and Bridge Restoration
Haden

Crown, Bridge and Partials
Louella

Crown and Bridge Restoration
Anna Lee
Implant Fixed Denture "Hybrid"

Denture Supported Implants
Nick

Denture Supported Implants
Charlene

Denture Supported Implants
Anthony

Denture Supported Implants
Howard
Crowns & Implant

Crown and Implants
James
Removable Partial Dentures/Implants

Implants With Removable Partial Denture
Christine

