View Common Cases Before & After Photos
Implants, Veneers & Partial Dentures
Christine
This patient presented with no posterior teeth, broken front teeth, and a collapsed bite. After restorations, her bite was opened, her front teeth were restored, two implants were placed to help retain her removable upper partial, her lower teeth were veneered, and her posterior teeth were replaced with a removable partial denture.
Veneers, Crowns & Gum Surgeries
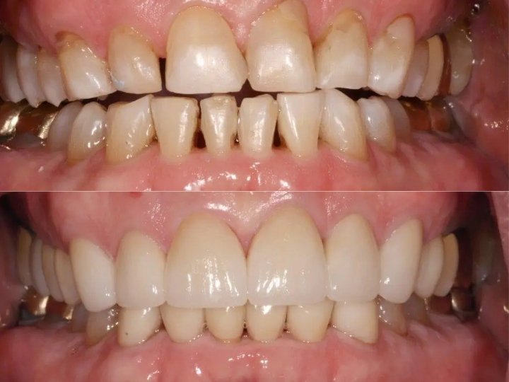
Jeanessa
This patient has full mouth severe acid erosion with recurrent decays. The patient wanted to preserve her teeth and restore her smile with a bright appearance. Dr. \[Doctor’s Name\] slightly opened her bite to restore the missing tooth structure caused by years of erosion. Once her new bite was established and confirmed by the patient (after months of using temporaries), we completed her posterior (back) crowns, then placed veneers on her upper and lower front teeth. Before the veneers, the patient had gum surgeries performed by our periodontist, Dr. Brody.
Restore Front Teeth, Mini Hybrid Replaced Teeth/Gums & Mini Partial Removable
Patricia B
4 implants were placed by DR Khalil to restore her front 4 teeth. Patient had severe bone loss. The mini hybrid replaced her teeth and her gum. Patient had another implant to help retain her upper removable partial. On the lower she has a mini removable partial.
Teeth Extraction & Implants, Upper & Lower Fixed Locator Hybrid Dentures
Howard J
Patient had severe advanced gum disease. Full mouth extraction and fully guided surgery by Dr Brody. The day patient had his teeth extracted and implants placed, he left with a removable temporary dentures. A year later Dr El Ghaoui fabricated upper and lower fixed locator type of hybrid.
Orthodontia & Veneers
Deborah
Patient had erosion, thin upper front teeth at the lingual. Patient opted for orthodontia by Dr. Abar and then veneers by Dr. El Ghaoui
Braces & Four Veneers
William
Severe erosion with severe abrasion. Patient had very short teeth and an inesthetic smile. Patient had orthodontia (braces) by Dr. Abar and two single veneers by Dr. El Ghaoui.
Uneven Smile, Invisalign, Upper & Lower Veneers
Tom A
Patient had severe crowding, uneven smile. Invisalign done by Dr. El Ghaoui, then veneers from upper right bicuspid to the left one. Lower anterior done as well. Patient wants to keep his old gold posterior crowns.

